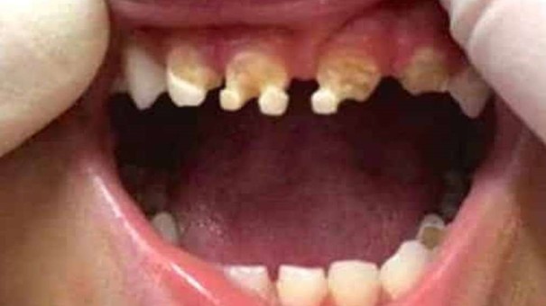
Ce que la dentiste découvre dans la bouche de l’enfant est effrayant (photo)
Cet enfant s’est retrouvé avec les dents dans un état lamentable… la raison est étonnante
Les boissons sucrées en cause

On a du mal à croire à ces photos, mais pourtant, elles sont bien réelles. Le sucre attaque les dents de façon très impressionnante et irréversible.
Cet enfant ne buvait que des boissons sucrées depuis qu’il était en âge de boire autre chose que du lait. Il ne buvait absolument rien d’autre. C’est donc un désastre sanitaire qui aura des répercussions sur sa santé, et pas uniquement sur ses dents.
Le sucre des boissons favorise l’érosion des dents et de plus en plus tôt, surtout sur les dents des enfants. Le problème est que cela continue d’impacter les dents définitives. Ces lésions commencent par affiner l’émail puis la dentine. Le tout se creuse jusqu’à faire disparaître complètement la dent dans certains cas. Chez les enfants, ce sont les incisives qui sont touchées puisqu’elles sont les premières en contact avec les boissons sucrées. Difficile de ne pas faire le lien !
Les boissons sucrées dangereuses pour la santé
Les distributeurs de cannettes sont partout, et il est donc difficile de résister à la tentation. Pourtant, de nombreuses études comme celle de l’Université de Harvard aux États-Unis révèle que la consommation d’une ou deux canettes par jour augmente considérablement les risques pour la santé. Et ils sont multiples : décès prématuré, cancer, d’obésité ou encore AVC.
Le sucre est omniprésent
Malheureusement, il est difficile d’éviter le sucre dans notre quotidien. Boissons sucrées, plats préparés, conserves de légumes et biscuits : les industriels n’hésitent pas à ajouter du sucre dans des produits qui ne devraient pas en contenir. On en trouve même dans les produits allégés. Si les répercussions sur le cerveau, le foie et le cœur sont bien connues, on a souvent tendance à oublier que les dents peuvent être impactées.